2022.10.08【元氣gogo 編輯部/外電編譯】愛喝酒或是喜歡睡前小酌的人注意囉!最近英國有研究發現,即使每天只喝1杯酒,也會使大腦萎縮,甚至導致認知障礙等問題。
這是對超過36000名男性和女性進行的1項研究,雖然發現重度飲酒者腦容量變小的風險最大(腦容量縮小會引發認知障礙);但即使在適度飲酒的人當中,這樣的狀況也很明顯。這項研究推翻了當前的指導方針,即是少量飲酒不會對大腦產生負面影響,甚至還可能有益,研究發表在《Nature Communications》(自然通訊雜誌)。
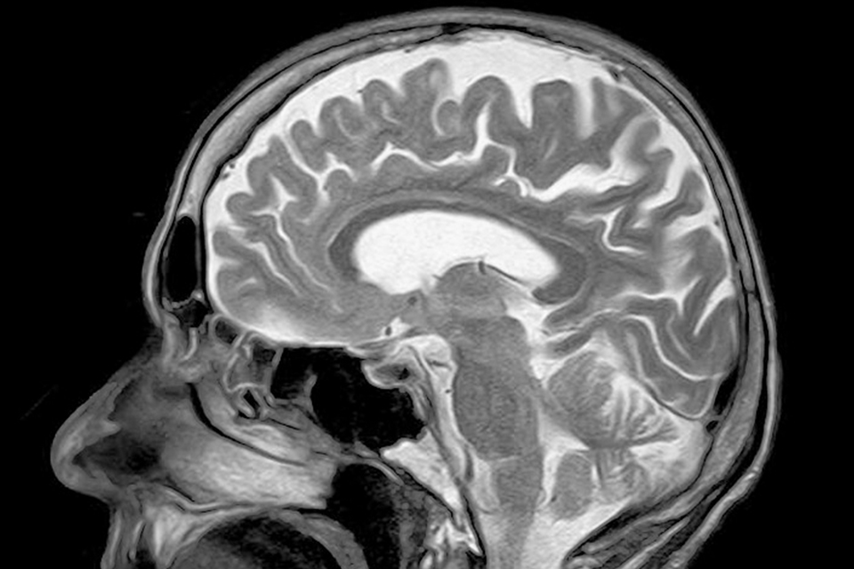
根據Axios的報導,Wisconsin大學和Pennsylvania大學分析了英國生物銀行中共36000多名男性和女性的腦部的核磁共振影像,研究團隊在排除吸菸、年齡、性別、BMI、吸菸和社會經濟地位等變量影響後,得出了這樣的結論。
根據研究,在50歲的人當中,隨著個人平均飲酒量的變化,從每天1個酒精單位(大約半杯啤酒)增加到2個單位(1品脫約568.26毫升啤酒或1杯葡萄酒),相關的大腦變化相當於老化了2年。

從MRI顯示的影像來看,每天攝取的酒量若從1、2單位增加到3個單位,就能看出大腦部位的灰質和白質逐漸減少。而且喝的酒量越多,大腦衰老的幅度就越大,每天喝4杯酒,長期下來,大腦相當於老化10多年。
Pennsylvania大學Perelman醫學院精神病學教授、成癮研究中心主任Henry Kranzler博士表示,這些發現與科學和政府關於安全飲酒限制的指導方針形成鮮明對比。美國國家酒精濫用與老齡化研究所建議,女性平均每天飲酒不超過1瓶,男性每天飲酒不超過2杯,皆大於這次研究中的建議量。
需要特別注意的是,這項研究並沒有關注在因果關係方面,而是關注飲酒與大腦體積縮小之間的關聯性。所以,研究人員希望在未來的研究中,去查明為什麼酒精會導致大腦的變化。儘管如此,這個研究結果是相當明確的,即是減少飲酒可以拯救大腦。

原文網址:Study: As Little as One Drink a Day Linked to Brain Changes
更多元氣gogo文章:
▸物質無法填補心靈——人生,追求的是心境與智慧! 你突然的離開,我該如何追尋我人生的意義?
▸人生很長,時間很短——學習把握每一個現在而不是等待!這一站,是斷捨離的再出發
